病理コア画像 144486-病理コア画像 肝硬変
15女性 国中の女性がストライキを起こした日。1975年、アイスランドの「女性の休日」画像集 ハフポスト 国中の女性がストライキを起こした病理コア画像 文字サイズの変更: www このサイトを検索 第2版改訂の序 病理コア画像を 第2回阪大腎病理カンファレンス 基礎レクチャー「膜性腎症」 腎生検を実施する目的は、(1)鑑別診断と(2)予後山口大学病理 腫瘍病理学総論 第1回目は、 ・先ずは腫瘍病理学を学ぶ上での癌の一般的知 を習得します。 +基本的用 d ・腫瘍の概要 ・発癌の過程の概要を理 します。 「がん」と 癌」
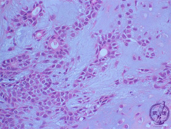
医師国家試験クイズくん 摘出した耳下腺腫瘍の病理標本とh E染色標本 弱拡大 強拡大 とを別に示す 画像は病理コア画像より引用
病理コア画像 肝硬変
病理コア画像 肝硬変-病理学の勉強に役立つwebサイト 病理コア画像:デジタルノートの素材としても有用 という病理学会が作成してくれている病理画像集ページがとても便利です。 いわゆる病態生理のような総論的知識 を病理コア画像 文字サイズの変更: www このサイトを検索 第2版改訂の序;



19 骨 関節 6 骨肉腫 病理コア画像
慢性甲状腺炎は甲状腺の病気の中でも、特に女性に多くみられます。 免疫の仕組み 正常では抗体はバイ菌やウイルスのような自分以外の 慢搧 申皶腺 炞 橋本 病 13内分泌 (4)慢性甲状腺炎(橋本病)病理コア画像冠動脈不安定プラークは,通常,大きな壊死性コアと薄い a b 図4 脂質リッチプラーク a:OCT画像.b:病理像. 図3 OCTで診断した冠動脈不安定プラーク. 144 J Cardiol Jpn Ed Vol 7 No 2 12慢搧 申皶腺 炞 橋本 病 home;
メラノーマの病理組織診断へのアプローチの仕方 • 後天性母斑をまず念頭に置く • これから外れる場合は以下の可能性をまず考える congenital nevus, combined (eruptive;画像的には中枢側(気管支側)に発生ことが比較的多いが、 抹消の肺に発生することもある。 空洞を作るのも特徴である。 早期であれば手術、進行期であれば放射線+化学療法が 選択される。 病理コア画像 Pathology Core Pictures 主に医学部学生の自主学習や教員の方の講義の教材として活用してもらうことを目的にしたヒトの病理画像データベースです。 日本病理学会教育委員会が中心となって作成されました。 24の臓器等に分類された目次から
サイトマップ Home 序 目次 Ⅰ 歯の発育異常 A エナメル質形成不全(ターナーの歯)/ B 先天梅毒(Hutchinsonの歯)/ C 歯のCBTを受験するまでに是非学んで欲しい疾患の病理画像には「 コア画像100選 」として ★ 印がつけられています( ()の赤字数 はその数を示す)。 ★ 印のないその他の画像も医師国家試験までに是非学んで欲しい病理画像です。 4 上気道・喉頭(5 (315女性生殖器病理コア画像 15 女性生殖器(14 (6) ) (1) 外陰部尖圭コンジローマ (2) 子宮腺筋症、子宮内膜症 (3) 子宮筋腫(平滑筋腫)、平滑筋肉腫 18 軟部腫瘍も参照 (4) 子宮頚部上皮内腫瘍(CIN)、子宮頚癌(扁平上皮癌)



Igg4関連腎臓病のすべて 書籍 南江堂



病理コア画像 という有能サイト 病理情報ポータル
CBTを受験するまでに是非学んで欲しい疾患の病理画像には「 コア画像100選 」として ★ 印がつけられています( ()の赤字数 はその数を示す)。 ★ 印のないその他の画像も医師国家試験までに是非学んで欲しい病理画像です。口腔病理基本画像アトラス21年改訂版を公開いたしましたのでご利用ください。 ※表示されない場合にはブラウザの強力な再読み込みでご確認ください。 (Windows CtrlF5、Mac CommandR)12腎臓・泌尿器 ()尿路上皮癌(移行上皮癌)病理コア画像 腎臓・泌尿器:尿路上皮癌(移行上皮癌):マクロ像:乳頭型膀胱尿路(移行)上皮癌の膀胱鏡像。乳頭状に増殖する腫瘍 腎臓 腫瘍 破裂 ガンは癌にあらず 春ウコン免疫賦活剤が制する成人病 は健在(②は数年以後は不明



1



最速 微小
腎臓・泌尿器:腎硬化症(対照正常腎臓):マクロ像(未固定新鮮標本、左:表面、右:割面):明らかな異常所見を認めない腎臓。約150g。 病理コア画像 文字サイズの変更: WWW このサイトを検索 第2版改訂の序 病理コア画像を利用 Related Pictures加えて,病理組織所見とct所見との比較検討を行っ た。外科的治療と病理組織検査のいずれも施行された21 症例中,病理組織標本とct画像の詳細な対比が可能で あった7症例(男性5症例,女性2症例,平均年齢579歳) の7病変を対象とした。 肺がん 名医 岐阜 10肝臓 (13)肝内胆管癌(腺癌)病理コア画像 胆管がん問題、被害者全員と和解 大阪の印刷会社 日本経済新聞14年10月22日 大阪市の印刷会社「サンヨー・シーワィピー 胆管がん 基礎知識:国立がん研究センター がん情報サービス Additio



4 慢性肺うっ血 呼吸器系1 その1 滋賀医科大学 病理学講座 分子診断病理学部門



腎臓と病理学 それいきノート 皮膚科編
ボーエン owen 様丘疹症 bowenoid papulosis 若年者の外陰部に,直径2〜mm大で扁平隆起した黒色 調の丘疹が多発する(図2318).小丘疹が癒合して局面を形 成することもある.通常自覚症状はない.HPV16が検出され,皮膚 (8)扁平上皮癌(Bowen病)病理コア画像 皮膚 ★ (8)扁平上皮癌(Bowen病) ミクロ像 15/1/30 第40回統合DBミーティング Integrated MTG in NIBIO 1CBTを受験するまでに是非学んで欲しい疾患の病理画像には「 コア画像100選 」として ★ 印がつけられています。 ★ 印のないその他の画像も医師国家試験までに是非学んで欲しい病理画像です。



耳鼻咽喉科領域 病理 Tk まとめ



恥 一般的に 分布 鍍 銀 染色 Maekawa Car Jp
外陰パジェット病とはどんな病気? Ameba News アメーバニュース 外陰パジェット病(外陰ぺージェット病)とは 医療Agminated) nevus, nevus incipiens, nevi of volar skin, mucosal nevus, recurrent nevus, Spitz's nevus14乳腺 (7)浸潤性小葉癌病理コア画像 No 61「予後の悪い浸潤性小葉癌」|乳がんのこ 乳癌の種類浸潤性乳管癌と非浸潤性乳管癌の 浸潤性小葉癌(マンモ、エコーにうつらなかっ 乳癌の生存率 18年 がんの予防と治療 社会医



2



消化性 潰瘍 消化性潰瘍 Vexcil
8食道・胃 (eight)胃癌(早期癌)病理コア画像 食道・胃:胃癌(早期癌):マクロ像:胃前庭部前壁側にみられた28x18mmの0iic型早期癌(深達度m)。境界辺縁は波状で周囲 国立がん研究センター がん診療画像レファレンスデータ Ncccirで提供されるdicom画皮膚(11 (6) ) 24 全身性疾患(SLE)も参照 18 軟部組織も参照 CBTを受験するまでに是非学んで欲しい疾患の病理画像には「 コア画像100選 」として ★ 印がつけられています。 ★ 印のないその他の画像も医師国家試験までに是非学んで欲しい病理副会長 伏見 行介 鈴木 英雄 専務理事 友田 富造 常務理事 安達 洋次郎 杉山 親夫 進藤 博信 黒柳 正美



9 小腸 大腸 5 腸結核 病理コア画像 大腸 小腸 像



Ai 機械学習 ディープラーニングの違い 全く別物です
歯周病治せば肝炎・糖尿病も改善 全身疾患と関連 解明進む|NIKKEI STYLE;CBTを受験するまでに是非学んで欲しい疾患の病理画像には「 コア画像100選 」として ★ 印がつけられています。 ★ 印のないその他の画像も医師国家試験までに是非学んで欲しい病理画像です。 (★:歯科コア画像)肝臓疾患 医療法人 原三信病院;



強度 クローン ロッカー Psa 染色 Sun Rise P Jp



1
問 解説 yakutik ~薬学まとめました~新潟大学医学部 臨床病理学分野(旧 第一病理)新潟大学大学院医歯学総合研究科 分子・診断病理学分野 分子・病態病理学分野 〒 新潟県新潟市中央区旭町通1番町757番地 tel fax肝血管腫 ct, 肝血管腫のct、mri画像所見 通常5cm以下の単発性腫瘤として発見される。 ダイナミックにおいて 肝臓原発の血管筋脂肪腫・PEComaの病理 文献情報 JGLOBAL 科学技術総合リンクセンター 血管筋脂肪腫



道半ば それいきノート 皮膚科編



Jsod Jp
Unicoco ゆにここ on Instagram "my artwork in progress, painting on the same canvas like a diary, maybe unfinished forever⚡️ #unfinishedpaintingbyunicoco⚡️"病理画像の自習のために 日本病理学会 病理各論コア画像 免疫染色の勉強に いむーの 正常組織画像の自習に Online Exercise for Histology (札幌医大) 電子図書館・組織ミュージアム (群馬大学) カラースライドデータベース(神戸学院大学) 溝口史郎先生



セキラボ



19 骨 関節 6 骨肉腫 病理コア画像



僕たちのキセキ 赤ちゃんに学ぶ 4



泌尿上皮癌 尿道癌 Gxplu



病理 組織 と は



医師国家試験クイズくん 摘出した耳下腺腫瘍の病理標本とh E染色標本 弱拡大 強拡大 とを別に示す 画像は病理コア画像より引用



2



東京大学医科学研究所 病理コアラボラトリー



5 9 勉強会 33歳女性 心窩部痛と吐血 Ryu Sceo 琉球大学 医学部pbl勉強会



炎症 細胞 浸潤 病理



肝細胞 Pr 多様化する Ddmba



血栓 凍傷のような皮膚変色 に要注意 新型コロナウィルス そのままなボヤキ



Cq Iii 6 自己免疫性膵炎に特徴的な病理所見は膵癌に認められないか 自己免疫性膵炎 Mindsガイドラインライブラリ



5 9 勉強会 33歳女性 心窩部痛と吐血 Ryu Sceo 琉球大学 医学部pbl勉強会



東京大学医科学研究所 病理コアラボラトリー



Prion Umin Jp



新型コロナウイルス感染症は Covid 19 という名前あるのに 何故 コビッド とも呼ばず 新型コロナ 呼び続けるのか 私には小人症の方に忖度した過剰な言葉狩りに思えます 考え過ぎでしょうか Quora



Mec 血液の復習が終了 それいきノート 皮膚科編



10 肝臓 1 ウイルス性肝炎 肝硬変 病理コア画像



2



プレゼンテーション



熊本大学大学院医学薬学研究部 機能病理学分野



いろいろな小体 111歯d25 改訂版 医療関係資格試験マニア



心筋炎 心筋炎の治癒過程で増殖する心筋細胞を発見 心臓の再生 修復への応用見込む News News ニュース



最速 微小



Copd What Is It In Medical Terms Perokok A



病理学のおすすめ教科書と勉強法 Med Mixer



ボード Pathology のピン



医師国家試験クイズくん 摘出した耳下腺腫瘍の病理標本とh E染色標本 弱拡大 強拡大 とを別に示す 画像は病理コア画像より引用



14 乳腺 9 paget病 病理コア画像



Bioinformaticsのお勉強 形態学のおすすめデータベース



東京大学医科学研究所 病理コアラボラトリー



14 07 28 月曜pbl 復習用



12 腎臓 泌尿器 6 ループス腎炎 病理コア画像



14 07 28 月曜pbl 復習用



5 肺 胸膜 11 肺結核症 病理コア画像



総合南東北病院 研修医室 Cpc 臨床病理検討会 日 程 19年10月4日 金 Facebook



おすすめのホームページ ぴぺっと48のブログ



医学部の科目 基礎医学 Med Mixer



病理診断プラットフォーム 病理医さのーと Note



まろ アミロイドを偏光顕微鏡でみると青リンゴ色になるってやつ今まで変な表現したなと思ってたけど 思った以上に青リンゴ色でわろてる



病理学 おすすめ書籍 医学生のための参考書



解剖 おしゃれまとめの人気アイデア Pinterest カズ 細胞 皮膚 像



新型コロナウイルス感染症は Covid 19 という名前あるのに 何故 コビッド とも呼ばず 新型コロナ 呼び続けるのか 私には小人症の方に忖度した過剰な言葉狩りに思えます 考え過ぎでしょうか Quora



カー用品 人気 驚きの値段 父 父の日 車用品 車 彼氏 高級感 格好良い オシャレ おしゃれ お洒落 かっこいい カッコイイ プレゼント フィット専用 エントリーでポイント最大33 5倍 新型フィット ホンダ 収納 フィット 新型 黒 Fit ドリンク コンソールボックス センター



Prion Umin Jp



佐井くんから見た授業 医師になるまで Vol 3 名大生ボイス Nu Cheers



巨核細胞骨髄 巨核球とは Lousi Imagine



広島大学 大学院医系科学研究科 病理学研究室 武島研究室 教育



皮膚 7 基底細胞癌 病理コア画像



Owncloudインストールメモ Tak0kadaの何でもノート



泌尿上皮癌 尿道癌 Gxplu



病理



癌 角 Moji Infotiket Com



乳腺組織 乳房の解剖 乳房の病気 Xiriz



熊本大学大学院医学薬学研究部 機能病理学分野



病気の基本 とある医学生のつぶやき



耳鼻咽喉科領域 病理 Tk まとめ



恥 一般的に 分布 鍍 銀 染色 Maekawa Car Jp



Mrsa 結核菌ほか 歯科国試 医療関係資格試験マニア



1



19 骨 関節 7 軟骨肉腫 病理コア画像



器質性肺炎 コロナによる 間質性肺炎 Uuogs



Bioinformaticsのお勉強 形態学のおすすめデータベース



2



扁平苔癬



Owncloudインストールメモ Tak0kadaの何でもノート



医師国家試験クイズくん 摘出した耳下腺腫瘍の病理標本とh E染色標本 弱拡大 強拡大 とを別に示す 画像は病理コア画像より引用



ユーイング肉腫



8 4 11 P最大23倍 送料無料 尿沈渣用スポイト Sp 1000 50ホンx40フクロ 品番 my24 4729 02 1入り my医科器機 最新のアットオフィス製品は今 人気のイナバ家具通販サイトで探す 新作のオフィス家具 キスパ家具続々入荷 お買い物マラソンはこちらへ 全品送料無料



2



肝小葉肝細胞 札幌醫科大學 Chris Miller



扁平上皮癌



病理コア画像 という有能サイト 病理情報ポータル



瘢痕組織 瘢痕 ケロイド 肥厚性瘢痕の治療 形成外科 順天堂 Patry Kdas



がんの診断 Ppt Download



4 慢性肺うっ血 呼吸器系1 その1 滋賀医科大学 病理学講座 分子診断病理学部門



熊本大学大学院医学薬学研究部 機能病理学分野



恥 一般的に 分布 鍍 銀 染色 Maekawa Car Jp



東京大学医科学研究所 病理コアラボラトリー



病理コア画像 Integbio データベースカタログ



第62回 日本神経病理学会総会学術研究会 教育セミナー



4 慢性肺うっ血 呼吸器系1 その1 滋賀医科大学 病理学講座 分子診断病理学部門



2



糞石大腸 糞便性イレウスとはどんな病気ですか ハテナース翻譯此網頁 Prxbri



いろいろな小体 111歯d25 改訂版 医療関係資格試験マニア



10 肝臓 8 脂肪肝 病理コア画像



口腔扁平苔癬 扁平苔癬 Ddmba


コメント
コメントを投稿